Much Hadham Dental Care

The Old Surgery, High Street, Much Hadham SG10 6DA

Invisalign®

Discreet teeth straightening in Much Hadham, Hertfordshire

Straighten your teeth discreetly and comfortably with clear aligners by Invisalign®. Our team is excited to introduce you to this revolutionary orthodontic solution. Whether you’re an adult seeking subtlety or a teen looking for an alternative to braces, Invisalign® offers a new way to transform your smile.

What is Invisalign®?

Invisalign® is a revolutionary teeth-straightening treatment. It uses clear removable aligners, custom-made to gently move your teeth to their desired position. Invisalign® is embraced by dental practitioners who adopt the latest developments in dentistry – practitioners like us. As a member of the MiSmile network, your search for a reliable provider of Invisalign® invisible braces in Much Hadham ends with us.

Invisalign® is a modern approach that requires no metal brackets, braces or wires. It is the perfect choice, as it’s comfortable, removable and nearly invisible. Creating your dream smile is easier and more convenient than ever before. Invisalign® places very few restrictions on your lifestyle, as you can eat and drink what you like.

So far more than 4 million patients worldwide have been treated with Invisalign®. We have provided Invisalign® braces for adults and teenagers from many of the local towns and villages of Hertfordshire including Much Hadham, Ware and Bishop’s Stortford.

Benefits of Invisalign®

  • Invisalign® aligners are nearly invisible. It fits within any lifestyle. Creating your new smile can be your own little secret
  • Invisalign® is effective from the moment you start your treatment.
  • There are no metal brackets or wires, no need to spend long session in the chair needing adjustments.
  • Through the ClinCheck software, Invisalign® allows you to view your virtual 3D treatment plan and results from beginning to end even before the start of your treatment.
  • Custom made, aligners are tailored made to match your teeth exactly. Making the aligners more comfortable and reducing irritation.
  • Improve oral and periodontal health as dental hygiene can be maintained during treatment, as you can remove your Invisalign® aligners to eat, drink and clean your teeth

Invisalign® results

Preview your straighter smile in seconds

See what your smile could look like with Invisalign, using our free SmileView tool. Simply take a selfie and get your personalised smile preview instantly.

Before and after SmileView smile preview

How does Invisalign® work?

The Invisalign® treatment consists of a series of nearly invisible, removable aligners that are custom-made just for you.

Invisalign® aligners move the teeth with an appropriate placement of controlled movement on the teeth. Invisalign® controls the amount of movement per aligner and also the timing of the movement. This results in an efficient force delivery system that moves teeth into the desired prescribed position.

Each aligner is worn for about 10 -14 days before being replaced by the next aligner in the series. As you replace each aligner, your teeth will move – little by little, week by week – until they have straightened to the projected final position.

Comfortable, removable and nearly invisible, creating your brand new smile is easier and more convenient than ever before.

Free Smile Assessment!

We are passionate about helping you create your perfect smile, and with our commitment to the very latest in teeth straightening techniques, we’re the perfect Invisalign® provider for you. It’s easy to book a Free Smile Assessment so please complete the contact form and we’ll be in touch. We look forward to hearing from you.

iTero is the latest 3D digital intraoral scanner that has been used in more than 1 million Invisalign scans and 2.7 million restorative scans. Great for patient comfort as the iTero scanners eliminate the mess and unpleasantness associated with traditional impressions, a great “gag-free” impression experience.

The Invisalign Outcome Simulator is exclusive to the iTero scanner and the Invisalign smile software helps you to visualise how your teeth may look at the end of Invisalign treatment – a picture says more than a thousand words.

Scanning and producing a visual 3D image on-screen takes 5 – 10 minutes to complete. As the scan and photos are sent to Invisalign via the internet, there is no delay. You can start with your treatment within 3-4 weeks.

What is included in Free Smile Assessment?

  • Oral health assessment with X rays
  • Photos of your teeth and bite
  • iTero digital scan of your teeth
  • Invisalign outcome simulator – a chair-side simulation of how your teeth might look at the end of your treatment.
  • Your digital scan and photos will be uploaded to Invisalign to create a detailed virtual 3D treatment plan using ClinCheck® software. ClinCheck shows the aligner count and the series of movements your teeth are projected to go through over the course of the treatment.

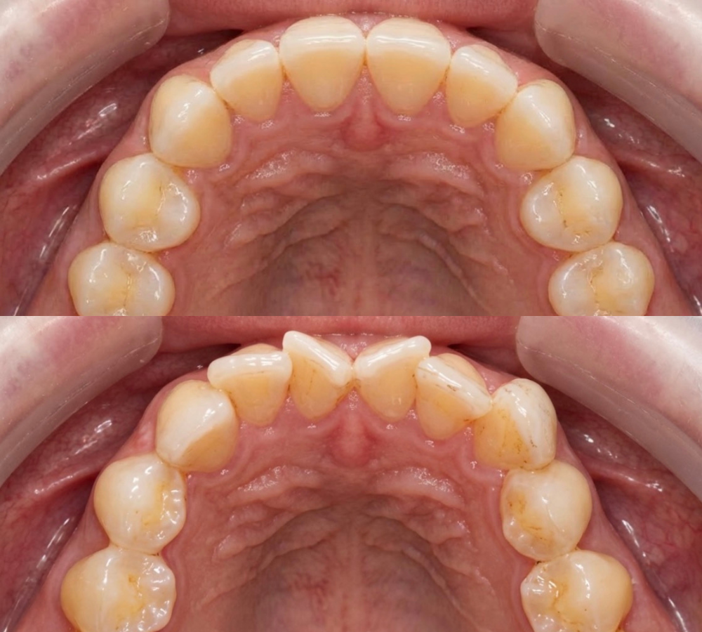
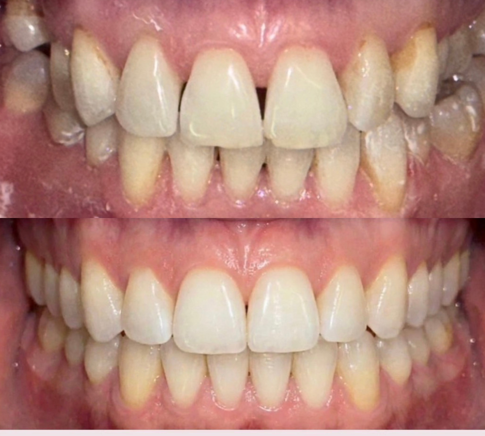
Before & After Invisalign

Real patients, real results

Before and after Invisalign 1
Before and after Invisalign 3
Before and after Invisalign 4
Before and after Invisalign 5
Before and after Invisalign 6
Before and after Invisalign 7
Before and after Invisalign 8
Before and after Invisalign 1
Before and after Invisalign 3
Before and after Invisalign 4
Before and after Invisalign 5
Before and after Invisalign 6
Before and after Invisalign 7
Before and after Invisalign 8

Is this a new way to straighten teeth?

Invisalign uses Align Technology’s 3D computer technology and mass-customisation to create a unique 3D treatment plan. This unique ClinCheck allows you to see what your teeth might look like during and after your treatment.

ClinCheck shows the series of movements your teeth are projected to go through over the course of the treatment. This enables you to see what your teeth are expected to look like when the treatment is finished and monitor changes as you go.

How much does Invisalign cost?

Exact treatment costs are dependent on the complexity of your individual case and we encourage you to arrange a FREE Smile Assessment (£50 refundable booking holding fee applicable).

We understand that cost is an important consideration and typically the cost of Invisalign treatment is comparable to traditional fixed braces. Invisalign could cost you from as little as £67 per month! Finance options are available!

Your brand new smile isn’t just about straight teeth, it’s about increasing your self-esteem and improving your confidence, resulting in a brighter, happier you, and with Invisalign, discovering the new you is easier than you think.

Contact us

    Scroll to Top

    FEBRUARY OFFER

    New patient exam only £49.50 (was £105)

    Applies only to the first 20 patients